در دنیای مدرن دندانپزشکی، استفاده از فناوریهای دیجیتال در تشخیص و درمان بیماریهای لثه و استخوان فک، تحول بزرگی ایجاد کرده است. پریودنتیست دیجیتال به متخصصانی گفته میشود که با بهرهگیری از ابزارهای دیجیتال مانند اسکن سهبعدی، نرمافزارهای طراحی درمان و روشهای پیشرفته جراحی، بهترین نتایج را برای بیماران بهدست میآورند. این روشها به خصوص در جراحیهای حساس مانند ایمپلنت دندان باعث کاهش خطا و افزایش دقت میشوند. برای کسانی که به دنبال بهترین متخصص های پریودنتیست دیجیتال در کرج هستند، انتخاب یک پزشک باتجربه، مطمئن و حرفهای اهمیت بالایی دارد. مراجعه به یک پزشک متخصص دیجیتال، نه تنها روند درمان را سریعتر و دقیقتر میکند، بلکه اعتماد بیمار را نیز افزایش میدهد. استفاده از فناوریهای نوین باعث شده تا بسیاری از درمانهای پیچیده مانند بازسازی استخوان و ایمپلنت بدون نیاز به جراحیهای مکرر انجام شود.
پریودنتیست دیجیتال کیست و چه تفاوتی با روش سنتی دارد؟
پریودنتیست دیجیتال متخصصی است که درمانهای لثه، بازسازی استخوان و جراحی ایمپلنت را با کمک تکنولوژی دیجیتال انجام میدهد. برخلاف روشهای سنتی که بیشتر بر تجربه و قضاوت چشمی پزشک تکیه داشت، روش دیجیتال با استفاده از ابزارهای دقیق:
- اسکن سهبعدی دهان و فک
- شبیهسازیهای نرمافزاری درمان
- طراحی دقیق پروتز و ایمپلنت
- برنامهریزی جراحی با دقت میلیمتری
باعث میشود درمان کوتاهتر، دقیقتر و با نتایج قابل پیشبینیتر انجام شود. در این میان، تجربه یک پزشک حرفهای، مانند دکتر سمیرا حاج حیدری، میتواند نتیجه را به سطحی بالاتر برساند و به بیمار اطمینان دهد که درمان در دست یک متخصص واقعی است.
مزیتهای اصلی پریودنتیست دیجیتال عبارتاند از:
- کاهش خطا در جراحیهای لثه و ایمپلنت دندان
- افزایش طول عمر درمان و دوام ایمپلنت
- کاهش درد و تورم بعد از درمان
- برنامهریزی درمان متناسب با شرایط استخوان و لثه هر بیمار
با توجه به این مزایا، یافتن بهترین متخصص های پریودنتیست دیجیتال در کرج به معنای تضمین درمان مطمئن، طبیعی و ماندگار است. این انتخاب همچنین دسترسی به امکاناتی مانند بهترین مرکز ایمپلنت در کرج را فراهم میکند که از تجهیزات پیشرفته برای درمانهای دیجیتال بهره میبرد.

معیارهای انتخاب بهترین متخصص پریودنتیست دیجیتال
برای اینکه بتوانید بهترین پزشک را انتخاب کنید، باید به چند نکته کلیدی توجه داشته باشید:
- تخصص و تجربه علمی
تخصص پریودانتیکس و تجربه طولانی در درمانهای دیجیتال، شاخص مهمی برای موفقیت درمان است. پزشکی با سابقه و مهارت بالا، مانند دکتر سمیرا حاج حیدری، میتواند با برنامهریزی دقیق هر مرحله درمان را به بهترین شکل انجام دهد. - استفاده از فناوری دیجیتال
حضور دستگاههای اسکن سهبعدی، نرمافزارهای طراحی ایمپلنت و ابزارهای دقیق جراحی دیجیتال، نشاندهنده پیشرفته بودن کلینیک است. این تجهیزات به پزشک اجازه میدهد که پیش از جراحی تمام مراحل را شبیهسازی کند و بهترین نتیجه را تضمین نماید. - نمونه کارهای موفق
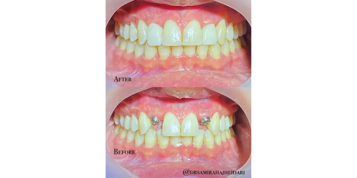
مشاهده تصاویر قبل و بعد بیماران، دید واقعی از کیفیت کار پزشک ارائه میدهد و میتواند اعتماد بیمار را افزایش دهد. - توانایی بازسازی استخوان و جراحی پیشرفته
برخی بیماران به دلیل تحلیل استخوان، به بازسازی نیاز دارند. متخصصی که در این زمینه تجربه دارد، امکان درمان را برای افراد بیشتری فراهم میکند. - رضایت بیماران و سابقه علمی
ترکیب تجربه بالینی، آموزش بینالمللی و رضایت بیماران، نشاندهنده عملکرد حرفهای و قابل اعتماد پزشک است.
با رعایت این نکات، میتوانید به راحتی از میان گزینههای موجود، بهترین متخصصهای پریودنتیست دیجیتال در کرج را انتخاب کنید.

معرفی بهترین متخصص های پریودنتیست دیجیتال در کرج
در جدول زیر، اطلاعات کاربردی برخی از پزشکان برجسته کرج ارائه شده است. این فهرست بر اساس تجربه، تخصص و فعالیتهای دیجیتال انتخاب شده است.
| نام پزشک | تخصص | آدرس | تماس |
|---|---|---|---|
| دکتر سمیرا حاج حیدری | متخصص جراحی لثه و پریودانتیکس دیجیتال | کرج، گلشهر، بین درختی و چهارراه گلزار، نبش کوچه کوکب غربی، برج اسلام، طبقه 4، واحد 9 | ۰۹۳۶۳۵۷۶۴۳۴ |
| دکتر فرشته شانهای | تخصص پریودانتیکس دیجیتال | کرج، خیابان بهشتی، بین میدان شهدا و چهارراه طالقانی، ساختمان پزشکان قائم، طبقه 7، واحد 23 | ۰۹۱۲۳۴۵۶۷۸۹ |
| دکتر محمدحسین تائید | تخصص پریودانتیکس دیجیتال | کرج، خیابان بهشتی، میدان شهدا و چهارراه طالقانی، برج پزشکان قائم، طبقه 7، واحد 23 | ۰۹۱۲۳۴۵۶۷۹۰ |
| دکتر نیکنام جهانفر | تخصص پریودانتیکس دیجیتال | کرج، چهارراه طالقانی، جنب اداره پست، ساختمان وزرا، واحد 702 | ۰۹۱۲۳۴۵۶۷۹۱ |
| دکتر ابوذر مرادی | تخصص پریودانتیکس دیجیتال | کرج، چهارراه طالقانی، طالقانی جنوبی، نرسیده به چهارراه هفت تیر، بین خیابان قیام و لاله 9، ساختمان ولیعصر، طبقه دوم، واحد 6 | ۰۹۱۲۳۴۵۶۷۹۲ |
نقش فناوری دیجیتال در موفقیت درمانهای پریودنتیکس
یکی از بزرگترین مزایای درمان دیجیتال، امکان پیشبینی دقیق نتیجه درمان است. با استفاده از نرمافزارهای طراحی سهبعدی و شبیهسازیهای دقیق، پزشک میتواند:
- جای مناسب ایمپلنت را بدون آسیب به استخوان انتخاب کند
- میزان بازسازی استخوان را قبل از جراحی تخمین بزند
- بهترین زاویه و عمق جراحی را با دقت میلیمتری مشخص کند
این تکنولوژی باعث میشود درمانها کمدردتر، کوتاهتر و با موفقیت بالاتر انجام شود. در واقع، فناوری دیجیتال، استانداردهای موفقیت در پریودنتیکس را به سطحی کاملاً علمی ارتقا میدهد و بهرهگیری از یک بهترین مرکز ایمپلنت در کرج میتواند کیفیت درمان را تضمین کند.
چرا مراجعه به بهترین متخصص های پریودنتیست دیجیتال اهمیت دارد؟
موفقیت درمانهای لثه و ایمپلنت، علاوه بر فناوری، وابسته به تخصص و تجربه پزشک است. یک متخصص حرفهای دیجیتال میتواند:
- تشخیص دقیقتری از شرایط استخوان و لثه بدهد
- بهترین تکنیک جراحی را انتخاب کند
- درمان را به کمترین زمان و با کمترین عارضه انجام دهد
- نیاز به بازجراحی یا اصلاح بعدی را کاهش دهد
به همین دلیل، انتخاب یکی از بهترین متخصص ایمپلنت دندان تضمینکننده نتیجهای طبیعی، ماندگار و با حداقل ریسک است.

بازسازی استخوان و جراحی پیشرفته در پریودنتیکس دیجیتال
تحلیل یا کمبود استخوان فک یکی از جدیترین چالشها در درمانهای پیشرفته لثه و ایمپلنت به شمار میرود؛ چالشی که در صورت تشخیص نادرست یا اجرای غیراصولی، میتواند منجر به شکست کامل درمان شود. در پریودنتیکس دیجیتال، این مشکل با تکیه بر برنامهریزی دقیق و تکنیکهای مدرن بهصورت علمی و قابل پیشبینی مدیریت میشود.
در این میان، تجربه و مهارت پزشک نقش کلیدی دارد. دکتر سمیرا حاج حیدری با تسلط تخصصی بر جراحیهای پیشرفته لثه و بازسازی استخوان، از روشهای نوین دیجیتال برای ارزیابی دقیق حجم و کیفیت استخوان فک استفاده میکنند. این رویکرد باعث میشود طراحی درمان بهصورت شخصیسازیشده انجام شده و ریسک عوارض به حداقل برسد.
متخصصان پریودنتیست دیجیتال، بهویژه در موارد پیچیده، میتوانند با بهرهگیری از تکنیکهای پیشرفته بازسازی استخوان (GBR):
- امکان کاشت ایمپلنت را حتی در فکهای تحلیلرفته فراهم کنند
- نیاز به جراحیهای چندمرحلهای و زمانبر را کاهش دهند
- بیماران با شرایط نامناسب استخوانی را نیز بهصورت ایمن کاندید درمان کنند
این سطح از دقت و تخصص، مرز میان یک درمان پرریسک و یک درمان موفق و ماندگار را مشخص میکند. به همین دلیل، بسیاری از بیمارانی که پیشتر گزینه مناسبی برای ایمپلنت یا جراحی لثه محسوب نمیشدند، امروز میتوانند با اطمینان از نتایج درمانی، تجربهای حرفهای و استاندارد مشابه خدمات ارائهشده در کلینیکهای پیشرفتهای مانند کلینیک ماهان داشته باشند.

مراقبتهای بعد از درمان دیجیتال؛ بهترین متخصص های پریودنتیست دیجیتال در کرج
یکی از مزایای درمان دیجیتال، کاهش دوره نقاهت و تورم پس از جراحی است. با این حال، رعایت نکات زیر برای موفقیت طولانیمدت ضروری است:
- رعایت بهداشت دهان و مسواک زدن اصولی
- استفاده از دهانشویههای توصیهشده
- اجتناب از غذاهای سخت یا چسبنده در هفتههای اول
- مراجعه منظم به متخصص برای بررسی روند بهبود
متخصصان دیجیتال معمولاً برنامه مراقبت دقیق و شخصیسازی شده برای هر بیمار ارائه میدهند تا دوام درمان افزایش یابد.
درآخر؛ چطور بهترین متخصص های پریودنتیست دیجیتال در کرج را انتخاب کنیم؟
برای افرادی که به دنبال درمانهای لثه و ایمپلنت دندان با دقت بالا و نتایج قابل پیشبینی هستند، انتخاب یکی از بهترین متخصص های پریودنتیست دیجیتال در کرج ضروری است.
در انتخاب پزشک، توجه به ترکیبی از موارد زیر کلیدی است:
- تخصص و تجربه در پریودانتیکس و درمان دیجیتال
- استفاده از فناوریهای نوین و نرمافزارهای پیشرفته
- توانایی بازسازی استخوان و انجام جراحیهای پیچیده
- رضایت بیماران و نمونه کارهای موفق
با رعایت این معیارها، میتوان اطمینان داشت که درمان کوتاه، کمعارضه و با دوام طولانی انجام خواهد شد و نتیجهای حرفهای مشابه بهترین مرکز ایمپلنت در کرج و دکتر سمیرا حاج حیدری به دست میآید.
سوالات متداول درمورد بهترین متخصص های پریودنتیست دیجیتال در کرج
- پریودنتیست دیجیتال چیست؟
پریودنتیست دیجیتال متخصص لثه است که با ابزارهای دیجیتال مانند اسکن سهبعدی و نرمافزارهای طراحی، درمان دقیق و پیشبینیپذیر ارائه میدهد. - چه کسی کاندیدای پریودنتیکس دیجیتال است؟
افرادی که نیاز به جراحی لثه، ایمپلنت یا بازسازی استخوان دارند و میخواهند درمان سریع، دقیق و کمعارضه داشته باشند. - مزیت مراجعه به بهترین متخصص های پریودنتیست دیجیتال در کرج چیست؟
درمان دقیقتر، کاهش ریسک شکست، کوتاه شدن دوره نقاهت، نتایج طبیعی و ماندگار. - آیا بازسازی استخوان در درمان دیجیتال امکانپذیر است؟
بله، با تکنیکهای پیشرفته و برنامهریزی دیجیتال، حتی بیمارانی که استخوان کافی ندارند، میتوانند درمان موفق داشته باشند. - مراقبتهای بعد از پریودنتیکس دیجیتال چیست؟
رعایت بهداشت دهان، استفاده از دهانشویه، اجتناب از غذاهای سخت و مراجعات دورهای به متخصص برای بررسی روند درمان.

