التهاب لثه بعد از کامپوزیت یکی از شایع ترین مشکلاتی است که برخی بیماران پس از انجام درمان های زیبایی دندان تجربه میکنند. بسیاری از افراد تصور میکنند که این التهاب طبیعی است و به مرور زمان برطرف میشود، اما واقعیت این است که التهاب لثه بعد از کامپوزیت میتواند نشانه ای از یک مشکل زمینه ای مهم باشد که اگر به موقع بررسی و درمان نشود، سلامت لثه و حتی دندان ها را به خطر میاندازد. شناخت دقیق دلایل بروز التهاب لثه بعد از کامپوزیت، اولین گام برای پیشگیری و درمان اصولی آن است.
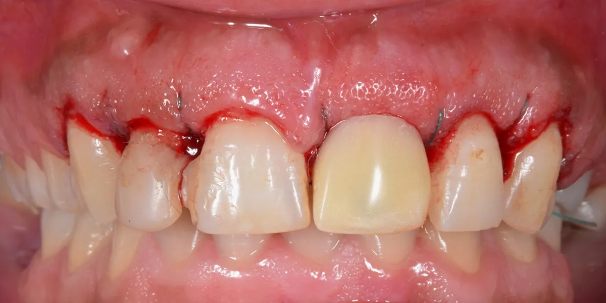
درمان های زیبایی مانند کامپوزیت دندان اگرچه با هدف بهبود ظاهر لبخند انجام میشوند، اما در صورت بی توجهی به اصول علمی و بیولوژیک لثه، میتوانند باعث تحریک بافت های اطراف دندان شوند. التهاب لثه بعد از کامپوزیت ممکن است به صورت قرمزی، تورم، خونریزی هنگام مسواک زدن یا حتی درد خفیف تا شدید بروز کند. این علائم هشداری هستند که نباید نادیده گرفته شوند، زیرا سلامت لثه نقش کلیدی در ماندگاری درمان های زیبایی دارد.
بررسی علمی التهاب لثه بعد از کامپوزیت و نقش تماس نادرست مواد
یکی از مهم ترین دلایل التهاب لثه بعد از کامپوزیت دندان، تماس مستقیم یا غیر اصولی مواد ترمیمی با لثه است. زمانی که کامپوزیت بیش از حد به ناحیه لثه نزدیک باشد یا لبه های آن به درستی پولیش نشده باشند، بافت لثه تحریک میشود. این تحریک مداوم میتواند به مرور زمان باعث التهاب لثه بعد از کامپوزیت شود و حتی شرایط را برای تجمع پلاک میکروبی فراهم کند.
در شرایطی که کامپوزیت به درستی کانتور نشده باشد، فضای مناسبی برای تمیز کردن دندان باقی نمیماند. این مسئله باعث میشود باکتری ها در ناحیه اتصال دندان و لثه تجمع پیدا کنند و التهاب تشدید شود. توجه به جزئیات فنی در هنگام انجام درمان، نقش بسیار مهمی در پیشگیری از التهاب لثه بعد از کامپوزیت دارد.
تأثیر مهارت دندانپزشک بر بروز التهاب لثه بعد از کامپوزیت
مهارت و تجربه دندانپزشک یکی از عوامل تعیین کننده در جلوگیری از التهاب لثه بعد از کامپوزیت است. طراحی صحیح لبه ها، رعایت فاصله بیولوژیک لثه و انتخاب مواد با کیفیت همگی نیازمند دانش و تجربه بالینی بالا هستند. مراجعه به مراکز تخصصی و انتخاب بهترین دکتر کامپوزیت دندان در کرج میتواند احتمال بروز این عارضه را به میزان قابل توجهی کاهش دهد.
دندانپزشکی که آشنایی کافی با اصول پریودنتال داشته باشد، هنگام انجام درمان زیبایی به سلامت لثه توجه ویژه ای نشان میدهد. در چنین شرایطی، احتمال التهاب لثه بعد از کامپوزیت به حداقل میرسد و بیمار میتواند از نتیجه درمان خود با خیال راحت لذت ببرد.
نقش بهداشت دهان در التهاب لثه بعد از کامپوزیت
حتی اگر درمان به صورت کاملاً اصولی انجام شده باشد، رعایت نکردن بهداشت دهان میتواند منجر به التهاب لثه بعد از کامپوزیت شود. تجمع پلاک و جرم در اطراف کامپوزیت ها سریع تر از دندان های طبیعی اتفاق میافتد، زیرا سطح ترمیم شده میتواند محل مناسبی برای چسبیدن باکتری ها باشد.
مسواک زدن نادرست، استفاده نکردن از نخ دندان و بی توجهی به دهان شویه های مناسب، همگی عواملی هستند که التهاب لثه بعد از کامپوزیت را تشدید میکنند. آموزش صحیح به بیمار پس از درمان، یکی از مهم ترین اقدامات پیشگیرانه محسوب میشود.
بررسی واکنش های بافت لثه به مواد کامپوزیتی
در برخی موارد، التهاب لثه بعد از کامپوزیت میتواند به دلیل حساسیت یا واکنش بافت لثه به مواد مورد استفاده ایجاد شود. اگرچه این موارد نادر هستند، اما در بیماران مستعد، تماس طولانی مدت مواد با لثه میتواند باعث التهاب مزمن شود. انتخاب مواد با کیفیت و سازگار با بافت های دهان نقش مهمی در کاهش این نوع واکنش ها دارد.
در این شرایط، بررسی تخصصی توسط متخصص لثه ضروری است تا علت دقیق التهاب مشخص شود و از پیشرفت آن جلوگیری گردد.
جدول عوامل شایع ایجاد التهاب لثه بعد از کامپوزیت
| عامل ایجادکننده | توضیح مختصر |
|---|---|
| تماس مستقیم کامپوزیت با لثه | تحریک بافت و ایجاد التهاب |
| پولیش نامناسب | تجمع پلاک و باکتری |
| بهداشت ضعیف دهان | افزایش خطر عفونت لثه |
| مهارت ناکافی دندانپزشک | طراحی نامناسب ترمیم |
راه های درمان التهاب لثه بعد از کامپوزیت با رویکرد تخصصی
درمان التهاب لثه بعد از کامپوزیت باید بر اساس علت اصلی آن انجام شود. در برخی موارد، اصلاح لبه های کامپوزیت و پولیش مجدد میتواند مشکل را به طور کامل برطرف کند. اگر التهاب ناشی از تجمع جرم باشد، جرم گیری حرفه ای و آموزش بهداشت دهان نقش مؤثری در بهبود وضعیت لثه دارد.
در شرایط پیشرفته تر، ممکن است نیاز به درمان عفونت و التهاب و ورم لثه به صورت تخصصی وجود داشته باشد. این درمان ها باید تحت نظر متخصص پریودنتولوژی انجام شوند تا از آسیب های جدی تر جلوگیری شود.

نقش درمان های پریودنتال در کنترل التهاب لثه بعد از کامپوزیت
متخصصان لثه با بررسی دقیق وضعیت بافت های اطراف دندان، بهترین روش درمان التهاب لثه بعد از کامپوزیت را انتخاب میکنند. استفاده از روش های غیر جراحی، دارودرمانی موضعی و در صورت لزوم اصلاح ترمیم های قبلی، از جمله اقداماتی است که میتواند به بهبود کامل لثه کمک کند.
در موارد خاص، حتی درمان التهاب لثه بعد از روکش دندان نیز ممکن است هم زمان با اصلاح کامپوزیت ها انجام شود تا تعادل بافتی دهان به طور کامل بازگردد.
اهمیت تشخیص زودهنگام التهاب لثه بعد از کامپوزیت
تشخیص زودهنگام التهاب لثه بعد از کامپوزیت نقش حیاتی در جلوگیری از پیشرفت بیماری های لثه دارد. بی توجهی به علائم اولیه میتواند منجر به تحلیل لثه، عقب نشینی بافت و حتی آسیب به استخوان اطراف دندان شود. مراجعه منظم برای معاینه و پیگیری وضعیت لثه پس از درمان های زیبایی، یک اقدام پیشگیرانه هوشمندانه محسوب میشود.
مقایسه علائم خفیف و پیشرفته التهاب لثه بعد از کامپوزیت
| نوع علائم | ویژگی ها |
|---|---|
| علائم خفیف | قرمزی و خونریزی خفیف |
| علائم پیشرفته | تورم شدید و درد مداوم |
نقش تخصص پریودنتولوژی در حفظ سلامت لثه پس از درمان های زیبایی
متخصصان پریودنتولوژی با دانش عمیق درباره بافت های نگهدارنده دندان، نقش مهمی در پیشگیری و درمان التهاب لثه بعد از کامپوزیت دارند. دکتر سمیرا حاج حیدری به عنوان متخصص جراحی لثه، ایمپلنت های دندانی و بیماری های لثه، با سابقه علمی و دانشگاهی معتبر، نمونه ای از پزشکانی هستند که توجه ویژه ای به سلامت لثه در کنار درمان های زیبایی دارند.
دانش آکادمیک، تجربه بالینی و آشنایی با جدیدترین روش های درمانی، باعث میشود رویکرد درمانی در چنین شرایطی کاملاً علمی و مؤثر باشد.
جمع بندی نهایی درباره التهاب لثه بعد از کامپوزیت و اهمیت اقدام آگاهانه
التهاب لثه بعد از کامپوزیت یک مشکل قابل پیشگیری و قابل درمان است، به شرط آنکه به موقع تشخیص داده شود و به صورت اصولی مورد بررسی قرار گیرد. انتخاب دندانپزشک آگاه به اصول لثه، رعایت بهداشت دهان، پیگیری های منظم و مراجعه به متخصص در صورت مشاهده علائم غیرطبیعی، همگی نقش مهمی در حفظ سلامت لثه دارند. در صورت نیاز به بررسی دقیق تر یا اطلاع از هزینه ها، بهتر است برای دریافت اطلاعات کامل با کلینیک تماس بگیرید و از مشاوره تخصصی بهره مند شوید.
سوالات متداول
1️⃣ آیا التهاب لثه بعد از کامپوزیت طبیعی است؟
خیر، التهاب مداوم طبیعی نیست و نیاز به بررسی دارد.
2️⃣ چه مدت طول میکشد التهاب لثه بعد از کامپوزیت برطرف شود؟
در موارد خفیف با درمان مناسب طی چند روز بهبود مییابد.
3️⃣ آیا اصلاح کامپوزیت میتواند التهاب لثه را درمان کند؟
بله، در بسیاری از موارد اصلاح لبه ها مؤثر است.
4️⃣ آیا مراجعه به متخصص لثه ضروری است؟
در صورت تداوم علائم، مراجعه توصیه میشود.
5️⃣ چگونه از التهاب لثه بعد از کامپوزیت پیشگیری کنیم؟
با رعایت بهداشت دهان و معاینات منظم.

