لیفت لثه با لیزر بهتر است یا جراحی؟

لیفت لثه با لیزر بهتر است یا جراحی؟

لیفت لثه با لیزر بهتر است یا جراحی؟

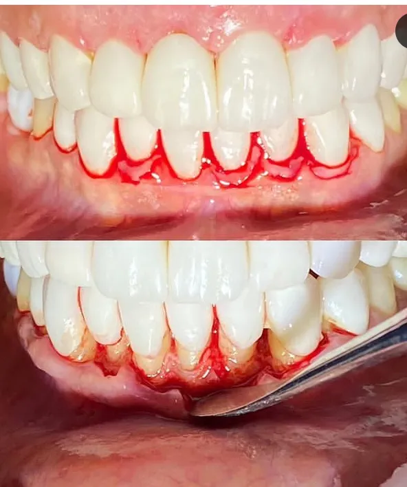
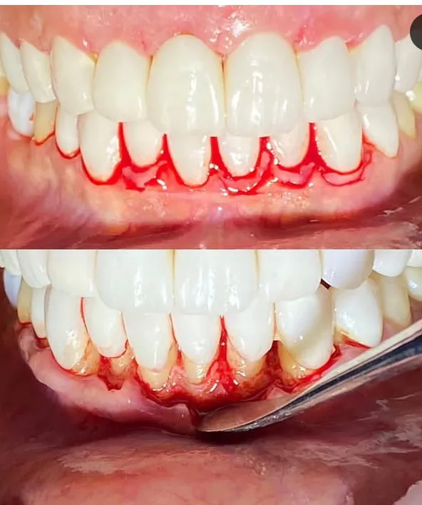
لیفت لثه با جراحی، از نظر نتیجه و ماندگاری بسیار بهتر از لیفت لثه با لیزر است. عمل لیفت لثه در دندانپزشکی ماهان در کرج توسط دکتر سمیرا حاج حیدری با جراحی انجام می شود.

این سوالی است که بسیاری از افرادی که به دنبال بهبود ظاهر لبخند خود هستند با آن مواجه می‌شوند. لیفت لثه یک روش موثر برای بهبود زیبایی و سلامت لثه‌ها و دندان‌هاست که می‌تواند لبخندی زیبا و جذاب به شما ببخشد. اما انتخاب بین لیفت لثه با لیزر و جراحی سنتی بستگی به عوامل مختلفی دارد که در این مقاله به بررسی آن‌ها خواهیم پرداخت. لیفت لثه با لیزر به دلیل تکنولوژی پیشرفته‌ای که استفاده می‌کند، درد و زمان بهبود کمتری دارد، در حالی که جراحی سنتی ممکن است با هزینه‌های کمتری همراه باشد و در برخی موارد نتایج بهتری ارائه دهد. در این مقاله، تفاوت‌ها، مزایا، هزینه‌ها و ریسک‌های هر دو روش را بررسی خواهیم کرد تا به شما کمک کنیم بهترین تصمیم را بگیرید. اگر به دنبال پاسخ به سوال لیفت لثه با لیزر بهتر است یا جراحی؟ هستید، با ما همراه باشید.

لیفت لثه با لیزر بهتر است یا جراحی؟ بررسی تفاوت‌ها و مزایا

برای پاسخ به سوال لیفت لثه با لیزر بهتر است یا جراحی؟ باید ابتدا تفاوت‌ها و مزایای هر دو روش را بررسی کنیم. لیفت لثه با لیزر از تکنولوژی پیشرفته لیزر استفاده می‌کند که باعث می‌شود خونریزی کمتری داشته باشد و زمان بهبود سریع‌تری را فراهم کند. لیزر با دقت بالاتری عمل می‌کند و به بافت‌های اطراف آسیب نمی‌رساند، بنابراین درد و التهاب بعد از عمل کمتر خواهد بود.

از طرف دیگر، جراحی سنتی لثه، که توسط جراح لثه در کرج انجام می‌شود، ممکن است در برخی موارد نتایج بهتری ارائه دهد. این روش معمولاً برای موارد پیچیده‌تر و زمانی که نیاز به برداشتن مقدار بیشتری از بافت لثه باشد، مناسب‌تر است. هزینه‌های جراحی سنتی معمولاً کمتر از لیفت لثه با لیزر است، اما باید در نظر داشت که زمان بهبود طولانی‌تر و درد بیشتری دارد.

لیفت لثه با لیزر بهتر است یا جراحی؟ کدام روش درد کمتری دارد؟

یکی از دغدغه‌های اصلی بیماران، میزان درد و ناراحتی بعد از انجام هر یک از این روش‌هاست. در پاسخ به سوال لیفت لثه با لیزر بهتر است یا جراحی؟ از نظر درد، باید گفت که لیفت لثه (بالا بردن لثه) با لیزر معمولاً درد کمتری دارد. لیزر به دلیل دقت بالا و توانایی بستن عروق خونی کوچک در حین برش، خونریزی و درد کمتری ایجاد می‌کند. این ویژگی باعث می‌شود که بیماران پس از عمل، راحتی بیشتری داشته باشند و نیاز به مصرف داروهای مسکن کمتری داشته باشند.

در مقابل، جراحی سنتی لثه که شامل برش با تیغ و بخیه زدن است، معمولاً باعث درد و ناراحتی بیشتری می‌شود. بیماران باید مدت بیشتری را برای بهبود سپری کنند و احتمالاً نیاز به مصرف داروهای مسکن بیشتری خواهند داشت. با این حال، برای برخی از مشکلات پیچیده‌تر، ممکن است این روش همچنان بهترین گزینه باشد.

زمان بهبود در لیفت لثه با لیزر بهتر است یا با جراحی؟

 

زمان بهبود

یکی از مهم‌ترین عوامل در انتخاب بین لیفت لثه با لیزر و جراحی سنتی است. وقتی می‌پرسیم لیفت لثه با لیزر بهتر است یا جراحی؟ از نظر زمان بهبود، باید بگوییم که لیفت لثه با لیزر معمولاً زمان بهبود سریع‌تری دارد. از آنجایی که لیزر کمتر به بافت‌های اطراف آسیب می‌زند و خونریزی کمتری ایجاد می‌کند، بیماران می‌توانند زودتر به فعالیت‌های روزمره خود بازگردند.

در مقابل، جراحی سنتی لثه نیاز به زمان بیشتری برای بهبود دارد. برش با تیغ و بخیه زدن باعث می‌شود که بافت‌های لثه زمان بیشتری برای ترمیم نیاز داشته باشند. همچنین، احتمال بروز عفونت و التهاب در روش جراحی بیشتر است که می‌تواند زمان بهبود را طولانی‌تر کند.

لیفت لثه با لیزر بهتر است یا جراحی؟ هزینه‌ها و مقرون به صرفه بودن

یکی از مهم‌ترین فاکتورهایی که بیماران در انتخاب روش لیفت لثه به آن توجه می‌کنند، هزینه‌ها و مقرون به صرفه بودن است. لیفت لثه با لیزر به دلیل استفاده از تکنولوژی پیشرفته، معمولاً هزینه بالاتری نسبت به جراحی سنتی دارد. با این حال، باید در نظر داشت که هزینه‌های بالاتر ممکن است با مزایای بیشتری مانند درد کمتر و زمان بهبود سریع‌تر همراه باشد.

در مقابل، جراحی سنتی لثه هزینه کمتری دارد و ممکن است برای افرادی که بودجه محدودی دارند، مناسب‌تر باشد. با این حال، باید به هزینه‌های جانبی مانند داروهای مسکن و زمان بیشتری که برای بهبود نیاز است، توجه کرد. در نهایت، انتخاب بین لیفت لثه با لیزر و جراحی باید بر اساس نیازها و بودجه بیمار انجام شود.

لیفت لثه با لیزر یا جراحی؟ ایمنی و ریسک‌های هر روش

یکی از نکات کلیدی در پاسخ به سوال لیفت لثه با لیزر بهتر است یا جراحی؟ ایمنی و ریسک‌های مرتبط با هر روش است. لیفت لثه با لیزر به دلیل دقت بالا و کاهش احتمال خونریزی و عفونت، ایمنی بیشتری دارد. لیزر می‌تواند با دقت بیشتری بافت‌های لثه را بردارد و به سرعت عروق خونی کوچک را ببندد، که این امر خطر عفونت را کاهش می‌دهد.

در مقابل، جراحی سنتی لثه به دلیل استفاده از تیغ و بخیه، خطر بیشتری برای عفونت و خونریزی دارد. همچنین، نیاز به بخیه زدن باعث می‌شود که زمان بهبود طولانی‌تر شود و احتمال بروز مشکلات پس از عمل بیشتر باشد. با این حال، برای برخی مشکلات پیچیده‌تر، جراحی سنتی ممکن است بهترین گزینه باشد.

آیا لیفت لثه با لیزر مناسب‌تر است؟ بررسی نظر دندانپزشکان

برای پاسخ به سوال لیفت لثه با لیزر بهتر است یا جراحی؟! نظرات دندانپزشکان و متخصصان نیز بسیار مهم است. بسیاری از دندانپزشکان معتقدند که لیفت لثه با لیزر به دلیل دقت بالا و زمان بهبود سریع‌تر، گزینه مناسبی برای بسیاری از بیماران است. این روش می‌تواند با حداقل ناراحتی و عوارض جانبی، نتایج خوبی را به همراه داشته باشد.

با این حال، برخی از دندانپزشکان نیز بر این باورند که جراحی سنتی لثه در برخی موارد خاص مانند لبخند لثه ای، نتایج بهتری ارائه می‌دهد. به عنوان مثال، زمانی که نیاز به برداشتن مقدار زیادی از بافت لثه باشد یا مشکلات پیچیده‌تری وجود داشته باشد، جراحی سنتی ممکن است موثرتر باشد. بنابراین، انتخاب بین این دو روش باید با مشاوره دقیق دندانپزشک و بر اساس نیازها و شرایط خاص بیمار انجام شود.

نکات مراقبتی پس از لیفت لثه با لیزر و جراحی: چه تفاوت‌هایی وجود دارد؟

مراقبت‌های پس از لیفت لثه بسیار مهم هستند و می‌توانند تاثیر زیادی بر روند بهبود داشته باشند. در پاسخ به سوال لیفت لثه با جراحی بهتر است یا لیزر؟ از نظر مراقبت‌های پس از عمل، باید گفت که این دو روش تفاوت‌های خاصی دارند. پس از لیفت لثه با لیزر، بیماران معمولاً به مراقبت‌های کمتری نیاز دارند و می‌توانند زودتر به فعالیت‌های روزمره خود بازگردند. استفاده از دهان‌شویه‌های ضدعفونی‌کننده و اجتناب از غذاهای سفت و تند می‌تواند به بهبود سریع‌تر کمک کند.

در مقابل، پس از جراحی سنتی لثه، بیماران نیاز به مراقبت‌های بیشتری دارند. این شامل استفاده از داروهای مسکن، رعایت بهداشت دهان و دندان با دقت بیشتر و اجتناب از فعالیت‌های سنگین برای مدت زمان طولانی‌تر است. همچنین، احتمال بروز عفونت و نیاز به مراجعه بیشتر به دندانپزشک برای بررسی وضعیت بهبود وجود دارد.

انتخاب بین لیفت لثه با لیزر و جراحی: کدام روش مناسب شماست؟

در نهایت، انتخاب بین لیفت لثه با لیزر و جراحی بستگی به نیازها، شرایط خاص بیمار و توصیه‌های دندانپزشک دارد. لیفت لثه با لیزر به دلیل دقت بالا، زمان بهبود سریع‌تر و کاهش درد و ناراحتی، برای بسیاری از بیماران گزینه مناسبی است. این روش می‌تواند با حداقل عوارض جانبی، نتایج خوبی را ارائه دهد.

از طرف دیگر، جراحی سنتی لثه به دلیل هزینه کمتر و کارایی بالا در برخی موارد پیچیده‌تر، ممکن است برای برخی بیماران مناسب‌تر باشد. با این حال، باید به زمان بهبود طولانی‌تر و خطرات بیشتری که ممکن است با این روش همراه باشد، توجه کرد. برای انتخاب بهترین روش، مشاوره دقیق با دندانپزشک و بررسی شرایط خاص هر بیمار ضروری است. با در نظر گرفتن تمامی جوانب و توجه به توصیه‌های متخصصان، می‌توانید تصمیم بهتری برای بهبود ظاهر و سلامت لثه‌ها و دندان‌های خود بگیرید.

پیام بگذارید

اکنون تماس بگیرید